Begin typing your search above and press return to search.
షాకింగ్: ఎముకగా మారుతున్న పురుషాంగం
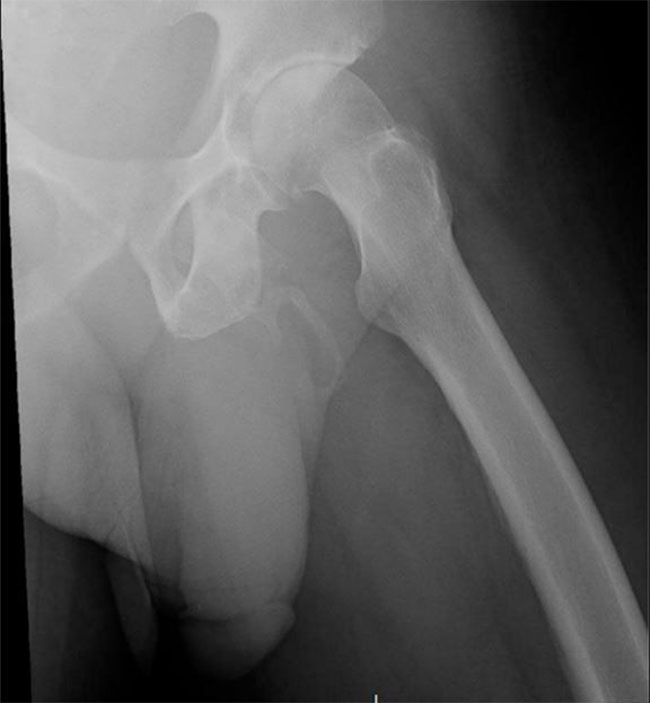
By: Tupaki Desk | 15 April 2020 11:00 PM ISTమాములుగా పురుషాంగం మృదువైన కణజాలంతో ఉంటుంది. రక్త ప్రసరణ జరిగినప్పుడు గట్టిపడి శృంగార క్రియను జరుపుతుంది. పురుషాంగంలో ఎముకలు ఉండవు. కేవలం కణజాలం మాత్రమే ఉంటుంది.
అయితే ఓ వ్యక్తి పురుషాగం ఎముకలా మారుతోంది. ఇది వైద్య చరిత్రలోనే అరుదైన ఘటనగా వైద్యులు అభివర్ణిస్తున్నారు. న్యూయార్క్ కు చెందిన 63 ఏళ్ల వ్యక్తికి ఇటీవల పురుషాంగం వద్ద నొప్పిగా ఉండడంతో బ్రోంక్స్ లోని లింకన్ మెడికల్ - హెల్త్ సెంటర్ లో వైద్య పరీక్షలు చేశారు. అతడి పురుషాంగం వద్ద ఎముక కణాలు ఏర్పడుతున్నట్టు వైద్యులు గుర్తించారు. అయితే వైద్యులు చెప్పినా అతడు పట్టించుకోకుండా వెళ్లిపోయాడు.
తాజాగా ఓ వీధిలో పడిపోయాడు. నడుముకు దెబ్బతగిలింది. నడుస్తున్నప్పుడు మోకాలు బాగా నొప్పి వస్తుందని వైద్యులను ఆశ్రయించగా.. ఎక్స్ రే తీస్తే అతడి పురుషాంగం మరింతగా ఎముకగా మారినట్టు గుర్తించారు. అది పూర్తి ఎముకగా మారబోతోందని హెచ్చరించారు.
పురుషాంగం ఎముకగా మారే ప్రక్రియను అస్థీకరణ (ఓసిఫికేషన్) అంటారని.. అరుదుగా ఏర్పడి ఈ వ్యాధి వల్ల కణజాలాలు పూర్తిగా ఎముకలా మారుతాయని వైద్యులు తెలిపారు. దీనికి సర్జరీ చేయాల్సి ఉంటుందని.. షాక్ వేవ్ థెరపీ ద్వారా ఈ చికిత్స చేస్తామని తెలిపారు. నిర్లక్ష్యం చేస్తే పురుషాగం పూర్తిగా ఎముకగా మారుతుందని వైద్యులు హెచ్చరించారు.
అయితే ఓ వ్యక్తి పురుషాగం ఎముకలా మారుతోంది. ఇది వైద్య చరిత్రలోనే అరుదైన ఘటనగా వైద్యులు అభివర్ణిస్తున్నారు. న్యూయార్క్ కు చెందిన 63 ఏళ్ల వ్యక్తికి ఇటీవల పురుషాంగం వద్ద నొప్పిగా ఉండడంతో బ్రోంక్స్ లోని లింకన్ మెడికల్ - హెల్త్ సెంటర్ లో వైద్య పరీక్షలు చేశారు. అతడి పురుషాంగం వద్ద ఎముక కణాలు ఏర్పడుతున్నట్టు వైద్యులు గుర్తించారు. అయితే వైద్యులు చెప్పినా అతడు పట్టించుకోకుండా వెళ్లిపోయాడు.
తాజాగా ఓ వీధిలో పడిపోయాడు. నడుముకు దెబ్బతగిలింది. నడుస్తున్నప్పుడు మోకాలు బాగా నొప్పి వస్తుందని వైద్యులను ఆశ్రయించగా.. ఎక్స్ రే తీస్తే అతడి పురుషాంగం మరింతగా ఎముకగా మారినట్టు గుర్తించారు. అది పూర్తి ఎముకగా మారబోతోందని హెచ్చరించారు.
పురుషాంగం ఎముకగా మారే ప్రక్రియను అస్థీకరణ (ఓసిఫికేషన్) అంటారని.. అరుదుగా ఏర్పడి ఈ వ్యాధి వల్ల కణజాలాలు పూర్తిగా ఎముకలా మారుతాయని వైద్యులు తెలిపారు. దీనికి సర్జరీ చేయాల్సి ఉంటుందని.. షాక్ వేవ్ థెరపీ ద్వారా ఈ చికిత్స చేస్తామని తెలిపారు. నిర్లక్ష్యం చేస్తే పురుషాగం పూర్తిగా ఎముకగా మారుతుందని వైద్యులు హెచ్చరించారు.
